트리지움치과, 쓰러진 어금니부정교합교정, 가위교합비발치교정

안녕하세요. 잠실 트리지움 상가에 위치한 더바름치과병원 대표원장 이영은입니다.교정치료는 심미적인 목적을 위해 환자가 희망하여 치과에 내원하는 경우가 많습니다.그러나 기능적으로 교합이 좋지 않은 경우 장기적인 치아 수명을 위해 교정해야 하는 경우가 있습니다.이 경우 환자분들은 큰 불편이 없더라도 치과의사가 먼저 교정치료를 권하는 것이 맞다고 생각합니다.(실제로 부정교합이 심해도 적응해서 불편함이 없다고 하시는 분들이 많은데, 좋지 않은 교합 양상으로 오랜 시간이 지나면 불편함이 점차 생기고 통증이나 심한 불편으로 내원하게 되면 치료도 복잡해지고 완벽하지 않을 수 있습니다.) 오늘 포스팅하는 환자분들은

턱 비대칭성이 있어요. 한편으로는 씹을 수가 없어요.

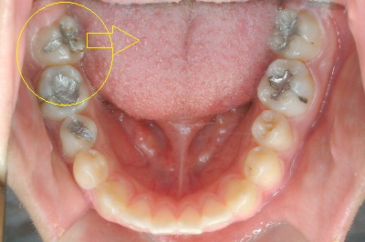
을 주소로 내원하신 20대 여성분인데 환자분의 오른쪽 어금니 교합은 아래 송곳니가 살짝 튀어나온 부분을 제외하면 어느 정도 괜찮을 것 같습니다.그런데 반대쪽 어금니를 보면 윗니에 가려져 아랫니가 거의 보이지 않는 상태에서 아랫니 어금니가 혀 쪽으로 넘어지면서 윗니 아랫니가 전혀 맞물리지 않는 상태입니다.가위교합(scissors bite)이라고 하는데 윗니는 뺨 쪽으로, 아랫니는 혀 쪽으로 완전히 엇갈린 교합의 양상이며, 이 교합은 시간이 지남에 따라 점점 심각해집니다.따라서 오랜 시간이 지나면 상하 어금니 치주(치경)가 나빠지고 어금니 전체를 발치하는 경우도 흔합니다.또한 정면 사진에서 위쪽 화살표를 보면 좋지 않은 교합 때문에 잇몸 마모증(Cervical abfraction)도 있습니다.

윗니 어금니가 뺨 쪽으로 많이 어긋난 상태입니다.치아가 조금씩 구부러져 있는 부분은 가위의 교합 교정을 하는 과정에서 자연스럽게 정돈된다고 생각됩니다.(교정치료를 치아를 다듬는 것으로만 생각할 수 있지만, 삐끗한 부분이 정돈되는 과정이 가장 쉽고 빠르게 중요한 것은 상하교합을 기능적으로 정상화하는 것입니다.)) 직업상의 이유로 장치를 부착할 수 없어 제거해야 하는 기간이 일시적으로 있었음에도 약 1년 정도의 기간으로 가짜 교합을 정상 교합에 맞추면서 치료를 종결하였습니다.

윗니 어금니가 뺨 쪽으로 많이 어긋난 상태입니다.치아가 조금씩 구부러져 있는 부분은 가위의 교합 교정을 하는 과정에서 자연스럽게 정돈된다고 생각됩니다.(교정치료를 치아를 다듬는 것으로만 생각할 수 있지만, 삐끗한 부분이 정돈되는 과정이 가장 쉽고 빠르게 중요한 것은 상하교합을 기능적으로 정상화하는 것입니다.)) 직업상의 이유로 장치를 부착할 수 없어 제거해야 하는 기간이 일시적으로 있었음에도 약 1년 정도의 기간으로 가짜 교합을 정상 교합에 맞추면서 치료를 종결하였습니다.

완전히 엇갈리고, 그 엇갈림으로 윗니가 많이 내려왔던 것도 해소되었습니다.완전히 엇갈리고, 그 엇갈림으로 윗니가 많이 내려왔던 것도 해소되었습니다.가위교합교정을 하게 되면 그동안 씹지 않았던 부분이 상하교합이 잘 되어 처음에는 어색함과 불편함이 있을 수 있는데, 이는 시간이 지나면서 서서히 적응하게 됩니다.위아래로 어긋나던 중심선도 잘 맞아떨어졌습니다.교정이 필요하거나 씹는 데 불편을 느끼신다면 치과의원에 가셔서 정확한 진단을 받아 보시기 바랍니다.이상 오늘 포스팅을 마치겠습니다.감사합니다。더바른치과병원 서울특별시 송파구 석촌호수로 61 트리지움상가 201호 더바른치과병원더바른치과병원 서울특별시 송파구 석촌호수로 61 트리지움상가 201호 더바른치과병원더바른치과병원 서울특별시 송파구 석촌호수로 61 트리지움상가 201호 더바른치과병원